Электронный имплант вернул слепым способность читать
Люди, потерявшие зрение, вновь обрели способность читать благодаря инновационному электронному импланту для глаза в сочетании с очками дополненной реальности. Об этом сообщают результаты клинического испытания, проведенного исследователями из Университетского колледжа Лондона и офтальмологической больницы Мурфилдс.
Европейское исследование, опубликованное в The New England Journal of Medicine, показало, что 84% участников снова смогли распознавать буквы, цифры и слова с помощью протеза зрения. Все они страдали от географической атрофии — запущенной формы возрастной макулодистрофии, которая ранее привела к слепоте в прооперированном глазу и не поддается лечению.
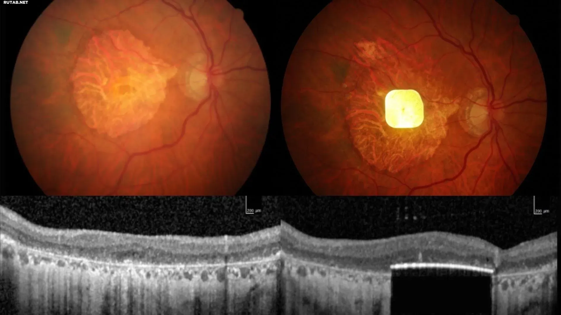
Изображение чипа в глазу пациента. Предоставлено: Science Corporation
Участники, получившие устройство, смогли прочитать в среднем пять строк стандартной таблицы для проверки зрения. До операции некоторые из них не могли различить даже саму таблицу.
Имплант PRIMA, размером 2×2 мм (как SIM-карта), вживляется под центральную сетчатку глаза. После операции пациенты используют очки дополненной реальности с видеокамерой, подключенной к портативному компьютеру.
«В истории искусственного зрения это представляет новую эру. Слепые пациенты действительно могут получить осмысленное восстановление центрального зрения, чего раньше никогда не было», — заявил руководитель исследования в Великобритании Махи Мукит.
Камера в очках захватывает визуальные сцены и проецирует их на чип в виде инфракрасного луча. Алгоритмы искусственного интеллекта обрабатывают данные и преобразуют их в электрические сигналы, которые через клетки сетчатки и зрительного нерва поступают в мозг, создавая изображение.
Одна из пациенток, Шейла Ирвин, поделилась: «Я заядлый книголюб и хотела вернуть эту возможность. Когда я начала видеть букву, это было невероятно волнующе».
Имплант разработан компанией Science Corporation, специализирующейся на нейроинтерфейсах. Устройство не требует постоянного питания и активируется только при использовании специальных очков.
















0 комментариев