Белок, связанный со смертью клеток, может замедлить старение крови
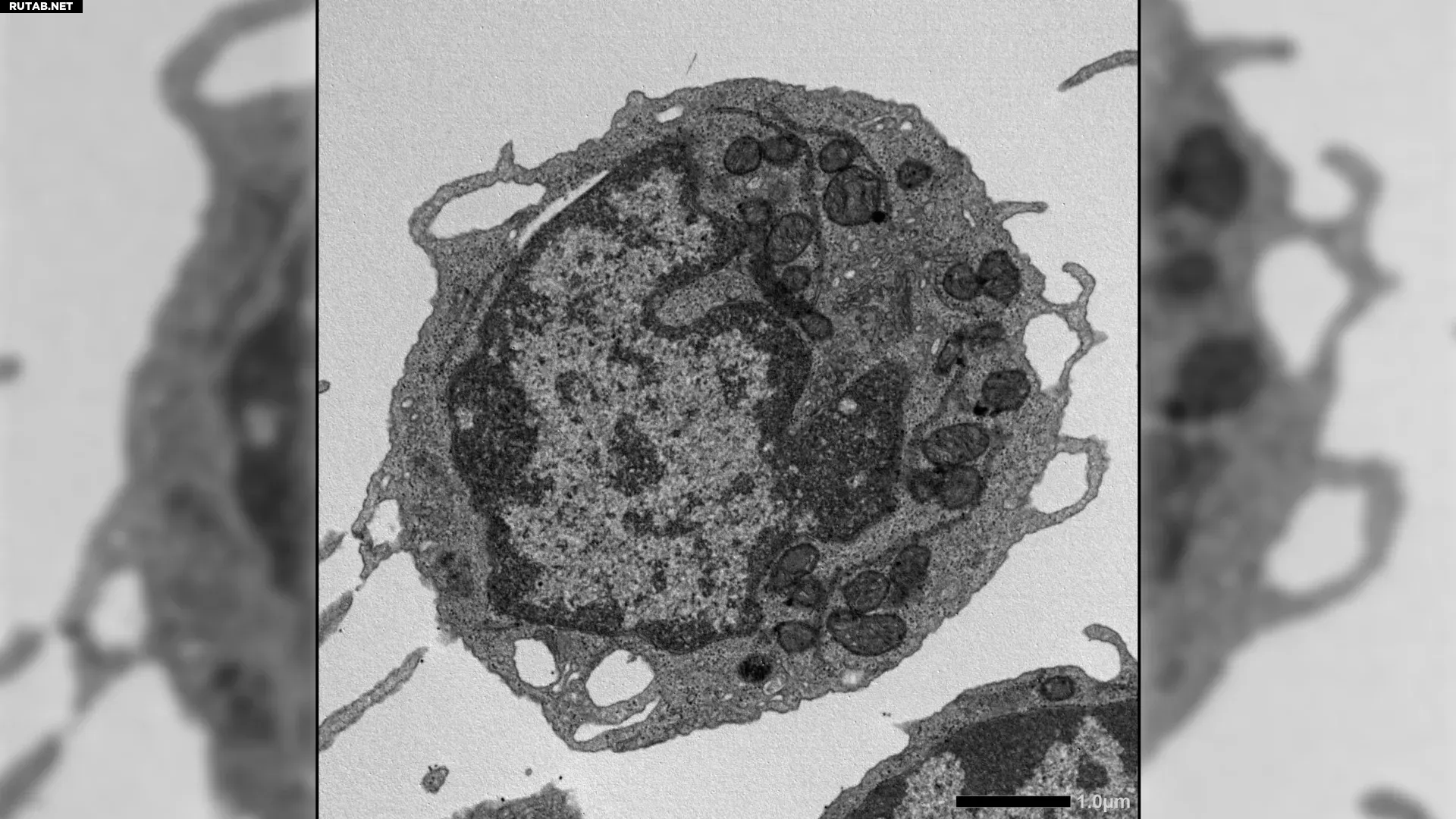
С возрастом кроветворная и иммунная системы человека ослабевают. Ключевая причина — старение гемопоэтических стволовых клеток (ГСК), которые производят все типы клеток крови. Учёные из Токийского университета и Детской исследовательской больницы Сент-Джуд обнаружили, что в этом процессе важную роль играет белок MLKL, обычно ассоциируемый с некроптозом (формой программируемой гибели клеток).
Исследование, опубликованное 6 апреля 2026 года в журнале Nature Communications, показало, что в стареющих ГСК MLKL активируется под воздействием стресса, но не убивает клетки. Вместо этого он временно перемещается в митохондрии — клеточные «энергостанции» — и повреждает их, снижая выработку энергии. Это приводит к ухудшению функций стволовых клеток: они хуже обновляются и производят меньше лимфоидных клеток, важных для иммунитета.
Эксперименты на генетически модифицированных мышах, лишённых MLKL, подтвердили эту связь. У таких животных даже в пожилом возрасте ГСК сохраняли способность к регенерации, производили более здоровые иммунные клетки и демонстрировали меньше повреждений ДНК и митохондрий.
Как отметил ведущий автор работы доктор Масаюки Ямасита: «В долгосрочной перспективе это исследование может привести к созданию терапий, сохраняющих функцию гемопоэтических стволовых клеток, что улучшит восстановление и долгосрочное здоровье пациентов после химиотерапии, облучения или трансплантации. Эти открытия могут вдохновить на создание новых классов препаратов, защищающих митохондрии или модулирующих некроптоз».
Таким образом, работа раскрывает новый механизм старения кроветворной системы и указывает на MLKL как на потенциальную мишень для замедления возрастного упадка иммунитета.












0 комментариев