Клеточная и молекулярная биология: клетки под электронным микроскопом
Вы читали о клеточной биологии, но можете ли вы идентифицировать клетки и структуры по изображениям, полученным с помощью электронного микроскопа?

1. Многие клетки легко узнать по форме. Здесь мы видим некоторые человеческие клетки (изображение выше). Даже если вы не знаете, что это такое, некоторые размышления о назначении клеток должны подсказать вам, какого типа они?
Ответ: Клетки крови
Даже с первого взгляда в этих клетках совершенно очевидны две особенности: они не связаны между собой и не обладают средствами передвижения. Первое наблюдение исключает мышечные и нервные клетки, которым для выполнения своей работы требуется плотное соединение, а второе исключает сперматозоиды, у которых есть подвижный хвост (ресничка) для движения. Таким образом, это клетки крови – пухлые шарики – это лейкоциты (лейкоциты), а плоские диски – эритроциты (красные кровяные тельца).

2. Здесь мы видим точку, где встречаются три клетки. Эксперт может распознать вид, но только по внешнему виду деления между клетками можно с уверенностью утверждать, что это представители какого типа жизни?
Ответ: растение
Эти клетки отделены друг от друга не только клеточной оболочкой, но и хорошо видимой, жесткой, толстой клеточной стенкой. Этим свойством обладают только растительные клетки.

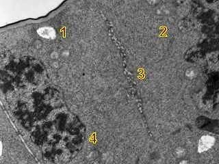
3. Внутренние структуры тоже иногда могут многое рассказать о клетке. В этом случае ни одна из этих четырех структур не является чем-то, что вы обычно видите в покоящейся клетке. Каков вердикт?
- Структура 4 показывает, что клетка мертва.
- Структура 2 показывает, что клетка является частью злокачественной опухоли.
- Структура 1 показывает, что клетка была заражена вирусом.
- Структура 3 показывает, что клетка находится в процессе деления.
Ответ: Структура 3 показывает, что клетка находится в процессе деления
Структура, которую вы видите под номером 3, называется центральной пластинкой, состоящей из уже продублированных хромосом клетки, выстроенных в линию и готовых к разделению пар. Все остальные компоненты представляют собой нормальные органеллы клетки корня растения, также уже разделяющиеся при подготовке к нормальному митотическому делению клетки.

4. Здесь мы имеем довольно крупную клеточную органеллу, на которой четко видны некоторые подразделения. Это также то, что обычно имеет человеческая клетка. Что это?
Ответ: ядро
Здесь мы видим ядро — центр управления клеткой. Как и все основные органеллы, оно имеет собственную мембрану, заполненную плазмой. В этой плазме плавает материал хроматина (хромосомы в раскрученном состоянии). Темное пятно в середине ядра — это ядрышко («маленькое ядро»), где вырабатывается особый тип РНК, контролирующий клеточную активность. Клетки обычно имеют только одно ядро, хотя есть некоторые исключения, например, в клетках скелетных мышц.

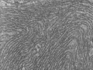
5. Эта органелла выглядит почти как отпечаток пальца, но это скорее сеть, к которой прикрепляются другие, очень маленькие, но важные компоненты клетки, выполняя свою функцию. Ее название также предполагает «маленькая сеть» на латыни. Что это за органелла?
Ответ: эндоплазматический ретикулум
В большинстве клеток животных эндоплазматический ретикулум прикрепляется непосредственно к ядру. На его поверхности прикреплено множество рибосом, чья работа заключается в синтезе белков на основе чертежей матричной РНК, посылаемой из ядра. Как только белки завершены, эндоплазматический ретикулум помогает их правильной укладке, а затем они транспортируются к месту назначения в клетке.

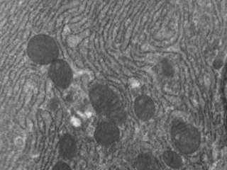
6. Это изображение относится к той же ячейке, что и предыдущая, но здесь есть встроенные черные структуры. Они не подключены к сети, а просто оказались здесь, потому что сети нужно много энергии. Как называются эти органеллы?
Ответ: Митохондрии
Митохондрии – это электростанции клетки. Они контролируют наиболее важные процессы клеточного дыхания, процесс расщепления глюкозы и кислорода на углекислый газ и воду. Одна молекула глюкозы теоретически питает 38 молекул АТФ, универсального внутриклеточного переносчика энергии, но из-за негерметичных мембран и необходимости транспортировки продуктов реакции чистый выход составляет примерно 28-30.
Этот процесс на самом деле преобразует только одну треть исходной энергии, запасенной в глюкозе, в пригодную для использования форму — не очень эффективно, но все же в 15 раз эффективнее, чем ферментация.

7. Это не отдельная часть клеточного компонента, показанного в вопросе 5, а несколько иная органелла, основной функцией которой является транспортировка везикул — капсул, содержащих важные химические вещества, — к месту назначения. Каково ее название?
Ответ: Аппарат Гольджи
Аппарат Гольджи, по сути, представляет собой складчатую мембрану, по которой дрейфуют отдельные мембранные пузырьки, движущиеся к месту назначения в результате химических реакций на поверхности. Многие из транспортируемых таким образом везикул на самом деле представляют собой маленькие пузырьки материала, которые отделились от эндоплазматического ретикулума или, реже, от самого аппарата Гольджи.
Затем они часто реабсорбируются в месте назначения.

8. Здесь мы смотрим на довольно редкое изображение одной конкретной органеллы, которая на самом деле имеет форму соломинки для питья. На фотографии показан один из ее концов и ее микроструктура, состоящая из девяти небольших пучков того, что снова похоже на соломинки. Название этой органеллы вводит в заблуждение, учитывая, что она скорее организует периферическую структуру клетки. Что вы здесь видите?
Ответ: центриоль
Центриоли являются проводниками и архитекторами структуры микротрубочек, которые в конечном итоге составляют цитоскелет клетки. Помимо придания клетке более постоянной формы, эти структуры участвуют в клеточном делении и транспорте. Если у клетки есть жгутик («хвост», используемый для движения) или другие средства передвижения, центриоли и микротрубочки также контролируют ее действие.

9. Здесь что-то происходит! Что происходит на этом изображении? Этот процесс определенно более выгоден для частиц слева, чем для массы справа.
Ответ: Вирусы ВИЧ инфицируют клетку крови
Определенно вы не захотите, чтобы это произошло в вашем собственном теле: мы видим здесь четыре частицы ВИЧ, две из которых только что начали процесс заражения, прикрепляясь к рецепторам на поверхности клетки. Затем клетка фактически поглотит вирус и начнет его растворять, высвобождая его генетический материал в клеточную плазму. Оттуда он может подорвать собственную молекулярную программу клетки и использовать ресурсы клетки для размножения.

10. Наконец, давайте взглянем на некоторые хромосомы. Эти три пары хромосом были взяты из изображения кариотипа человека. Какое из следующих утверждений о них определенно НЕПРАВИЛЬНО, принимая во внимание соглашение о маркировке хромосом?
- Пара B идентифицирует человека как мужчину.
- Пара C показывает хромосому 22.
- Пара А показывает хромосому 18.
- Человек, чьи хромосомы показаны, имеет генетическое заболевание.
Ответ: Пара С показывает хромосому 22
Пара B неравнозначна, маркируя X и Y хромосомы, таким образом идентифицируя мужчину. Пары A и C представляют собой нормальные аутосомы (стандартные парные хромосомы, одинаковые для обоих полов), но в соответствии с соглашением о нумерации самые большие хромосомы помещаются первыми. Таким образом, С, явно очень большая, не может иметь большого числа (фактически это хромосома 2). Наконец, мы не можем ни доказать, ни опровергнуть генетическое здоровье индивидуума.
В этих трех парах нет ничего явно неправильного, но одна из двадцати других может быть дефектной или может присутствовать небольшая, невидимая, но все же фатальная мутация.






0 комментариев