Крупнейший клад эпохи викингов найден в Норвегии: более 3150 серебряных монет

/ НаукаНовости / Наука
Крупнейший клад эпохи викингов найден в Норвегии: более 3150 серебряных монет Археологи обнаружили в Норвегии, недалеко от города Рена, крупнейший в истории страны клад серебряных монет эпохи викингов. Находка насчитывает более 3150 монет, и раскопки на месте продолжаются.Клад был найден 10 апреля двумя кладоискателями с металлоискателями, Руне Сетре и Вегардом Сёрли,
Читать дальше →
  • Алиса Минь   
  • +2

Древняя бельгийская могила раскрыла торговую систему после исчезновения римских бронзовых монет

/ НаукаНовости / Наука
Древняя бельгийская могила раскрыла торговую систему после исчезновения римских бронзовых монет Древние монеты и фрагменты металла, найденные в могиле V века в Бельгии, дают археологам редкую возможность взглянуть на то, как люди вели повседневную торговлю после того, как римская денежная система в Северо-Западной Европе начала разрушаться.Исследование, опубликованное в журнале Britannia,
Читать дальше →

Младенцы-неандертальцы росли вдвое быстрее современных людей, показало исследование

/ НаукаНовости / Наука
Младенцы-неандертальцы росли вдвое быстрее современных людей, показало исследование Новое исследование останков младенца-неандертальца из пещеры Амуд на севере Израиля указывает на более быстрые темпы раннего роста по сравнению с современными людьми. Останки, известные как Амуд 7, датируются периодом от 51 до 56 тысяч лет назад и включают более 100 фрагментов костей черепа, рук,
Читать дальше →

Механический вулкан XVIII века «ожил» спустя 250 лет

/ НаукаНовости / Наука
Механический вулкан XVIII века «ожил» спустя 250 лет Механическое произведение искусства, впервые задуманное в 1775 году для воссоздания извержения итальянского вулкана Везувий, впервые было воплощено в жизнь спустя 250 лет после его создания. Возрождение стало возможным благодаря современным технологиям и творческому подходу двух студентов
Читать дальше →
  • Алиса Минь   
  • +5

Младенцев из римского Йорка похоронили в редкой пурпурной ткани с золотом, связанной с элитными семьями

/ НаукаНовости / Наука
Младенцев из римского Йорка похоронили в редкой пурпурной ткани с золотом, связанной с элитными семьями Два младенца, похороненные почти 1700 лет назад в римском Йорке, были завернуты в один из самых дорогих текстильных материалов в римском мире, согласно новому исследованию Йоркского университета. Ученые обнаружили следы тирского пурпура — редкого красителя, ассоциировавшегося с императорами и
Читать дальше →
  • Алиса Минь   
  • 0

Двойная угроза: землетрясения на разломах Каскадия и Сан-Андреас могут произойти одновременно

/ НаукаНовости / Наука
Двойная угроза: землетрясения на разломах Каскадия и Сан-Андреас могут произойти одновременно Две крупные системы разломов вдоль западного побережья Северной Америки — зона субдукции Каскадия и разлом Сан-Андреас — могут быть более тесно связаны, чем считалось ранее. Новое исследование предполагает, что активность на одном разломе способна спровоцировать землетрясения на другом, что повышает
Читать дальше →
  • Алиса Минь   
  • 0

Астрономы раскрыли 50-летнюю тайну рентгеновского излучения звезды Гамма-Кассиопеи

/ НаукаНовости / Наука
Астрономы раскрыли 50-летнюю тайну рентгеновского излучения звезды Гамма-Кассиопеи Астрономы наконец-то определили источник необычного рентгеновского излучения, исходящего от яркой звезды Гамма-Кассиопеи. Виновником оказался невидимый звезда-компаньон, который притягивает вещество от своего более крупного соседа. Это открытие положило конец загадке, мучившей ученых более
Читать дальше →

Средневековые манускрипты не были безмолвными: исследование показало, что изображения вызывали звуки в сознании зрителей

/ НаукаНовости / Наука
Средневековые манускрипты не были безмолвными: исследование показало, что изображения вызывали звуки в сознании зрителей Согласно новому исследованию, средневековое религиозное искусство никогда не предназначалось для восприятия как безмолвное визуальное представление. Ученые выяснили, что изображения в религиозных местах, таких как церкви, соборы и центры паломничества, вероятно, вызывали воображаемые звуки в
Читать дальше →

Древнее животное с перекрученной челюстью найдено в Бразилии: жило 275 миллионов лет назад

/ НаукаНовости / Наука
Древнее животное с перекрученной челюстью найдено в Бразилии: жило 275 миллионов лет назад Палеонтологи обнаружили в русле пересохшей реки в лесу недалеко от Амазонки в Бразилии окаменелую челюсть неизвестного ранее древнего животного. В ходе раскопок команда нашла ещё восемь подобных челюстей, каждая длиной около 15 сантиметров. Однако других костей, которые можно было бы однозначно
Читать дальше →
  • Алиса Минь   
  • +3

Физики из Оксфорда впервые в истории добились «квадсжатия» в квантовой физике

/ НаукаНовости / Наука
Физики из Оксфорда впервые в истории добились «квадсжатия» в квантовой физике Исследователи из Оксфордского университета продемонстрировали новый тип квантового взаимодействия с использованием одного захваченного иона. Тщательно генерируя и контролируя все более сложные формы «сжатия», включая эффект четвертого порядка, названный квадсжатием, они сделали доступными квантовые
Читать дальше →

Новый алюминий может заменить редкие металлы и значительно снизить затраты

/ НаукаНовости / Наука
Новый алюминий может заменить редкие металлы и значительно снизить затраты Группа учёных из Королевского колледжа Лондона обнаружила новую форму алюминия, одного из самых распространённых металлов на Земле, которая может стать гораздо более дешёвой и устойчивой альтернативой широко используемым редкоземельным металлам.Под руководством доктора Клэр Бейкуэлл, старшего
Читать дальше →
  • Алиса Минь   
  • +5

Ученые наконец объяснили, как Двенадцать апостолов поднялись из океана

/ НаукаНовости / Наука
Ученые наконец объяснили, как Двенадцать апостолов поднялись из океана Исследователи из Мельбурнского университета впервые объяснили, как образовались знаменитые австралийские скалы «Двенадцать апостолов». Их выводы показывают, что движения тектонических плит на протяжении миллионов лет постепенно поднимали и наклоняли эти массивные скальные образования из океана.До
Читать дальше →

В Германии обнаружена 7000-летняя яма с костями бобров: неолитические охотники за мехом

/ НаукаНовости / Наука
В Германии обнаружена 7000-летняя яма с костями бобров: неолитические охотники за мехом Археологи в центральной Германии обнаружили необычную яму возрастом 7000 лет, заполненную костями бобров. Находка дает редкое представление об охотничьих практиках и материалах для одежды, использовавшихся одними из первых земледельческих общин Европы.Открытие было сделано недалеко от Альслебена в
Читать дальше →
  • Алиса Минь   
  • +2

Древняя ДНК переписывает историю падения Рима: небольшие миграции сформировали Центральную Европу

/ НаукаНовости / Наука
Древняя ДНК переписывает историю падения Рима: небольшие миграции сформировали Центральную Европу Крупное генетическое исследование раннесредневековых захоронений на юге Германии меняет представления историков о конце римского владычества в Центральной Европе. Исследование, проведенное Университетом Иоганна Гутенберга в Майнце и опубликованное в журнале Nature, основано на анализе 258 геномов из
Читать дальше →

В Риме обнаружена новая копия древнейшего английского стихотворения

/ НаукаНовости / Наука
В Риме обнаружена новая копия древнейшего английского стихотворения В Национальной центральной библиотеке Рима обнаружена новая копия древнейшего известного стихотворения на английском языке. Исследователи из Тринити-колледжа в Дублине идентифицировали рукопись начала IX века, содержащую «Гимн Кэдмона» — короткое древнеанглийское стихотворение, написанное более 1300
Читать дальше →
  • Алиса Минь   
  • +2

Коралловые блоки помогли археологам датировать колониальные постройки во Французской Полинезии

/ НаукаНовости / Наука
Коралловые блоки помогли археологам датировать колониальные постройки во Французской Полинезии Археологи, работающие в Тихом океане, нашли новый способ датировки построек колониальной эпохи, изучая коралловые блоки, использованные при их возведении. Этот метод позволяет более точно оценить даты строительства в регионах, где письменные источники ограничены или отсутствуют.Новое исследование,
Читать дальше →
  • Алиса Минь   
  • 0

Теплые воды океана подбираются к ледникам Антарктиды: новое исследование

/ НаукаНовости / Наука
Теплые воды океана подбираются к ледникам Антарктиды: новое исследование Новое крупное исследование, основанное на десятилетиях океанографических данных, выявило убедительные доказательства того, что тепло из глубины океана смещается в сторону Антарктиды. Это изменение представляет собой растущую угрозу для хрупких шельфовых ледников континента, которые помогают
Читать дальше →
  • Алиса Минь   
  • +2

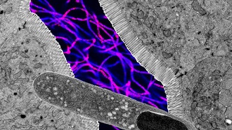
Ученые восстановили память, заблокировав один белок при болезни Альцгеймера

/ НаукаНовости / Наука
Ученые восстановили память, заблокировав один белок при болезни Альцгеймера Болезнь Альцгеймера часто описывают в цифрах: миллионы пораженных, стремительный рост числа случаев и затраты, исчисляемые триллионами. Однако для семей этот опыт глубоко личный. «Это медленное прощание, — говорит профессор Лаборатории Колд-Спринг-Харбор Николас Тонкс, чья мать жила с болезнью
Читать дальше →

ИИ-модель Centaur провалила тест на понимание: она не думала, а просто запоминала ответы

/ НаукаНовости / Наука
ИИ-модель Centaur провалила тест на понимание: она не думала, а просто запоминала ответы Психологи давно спорят о том, можно ли объяснить человеческий разум единой теорией или же различные функции, такие как внимание и память, необходимо изучать по отдельности. Теперь в эту дискуссию вступает искусственный интеллект (ИИ), предлагая новый способ исследования работы сознания.В июле 2025
Читать дальше →
  • Алиса Минь   
  • +2

В Англии обнаружен редкий погребальный костер бронзового века: уникальная находка на месте строительства АЭС «Сайзвелл C»

/ НаукаНовости / Наука
В Англии обнаружен редкий погребальный костер бронзового века: уникальная находка на месте строительства АЭС «Сайзвелл C» Археологи, работающие на раскопках «Сайзвелл C» в графстве Саффолк (Англия), обнаружили на холме Гус-Хилл остатки древнего погребального костра. Подобные находки крайне редки, так как погребальные костры сооружались над землей и зачастую исчезали бесследно спустя столетия из-за сельскохозяйственной
Читать дальше →
Показать ещё ↓