Полное сканирование 1 кубического миллиметра ткани мозга заняло 1,4 петабайта данных
Google: Google — поисковая система. Google — компания Google Inc. Google Foundation — благотворительный фонд. Google.by — домен и сайт, до 2009 года принадлежавший белорусской компании ActiveMedia. Википедия
Читайте также:Open AI создаст поисковую систему на базе ИИ — СМИGoogle обвиняет Epic Games в попытке создать «новый режим регулирования»Google представила процессор Axion для ЦОД: производительность на 50% выше, чем у процессоров x86Новый iPhone с искусственным интеллектом от Google: что известно на данный момент?Google будет использовать RISC-V для своего собственного чипа искусственного интеллекта
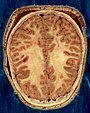
Исследование наполнено ошеломляющей статистикой. Чтобы получить изображение человеческого мозга, исследователям пришлось использовать технологию машинного обучения Google, что позволило сократить время завершения проекта на несколько лет. Сначала ученые разрезали образец на 5000 пластин, тоньше человеческого волоса. С каждого среза были сделаны электронные микроскопические изображения, которые были рекомбинированы, чтобы насчитать около 50 000 клеток и 150 миллионов синапсов — точек соединения, где нейроны встречаются и взаимодействуют. Чтобы рекомбинировать эти изображения и точно составить карту волокон и клеток, пришлось использовать технологию искусственного интеллекта Google, которая в цифровом виде определяла маршруты серого вещества.
Синтезированные изображения раскрыли множество захватывающих тайн мозга, которые ранее были совершенно неизвестны: некоторые кластеры клеток росли как зеркальные изображения друг друга. У одного нейрона было обнаружено более 5000 точек соединения с другими нейронами, а некоторые аксоны (концы нервов, передающие сигналы) по совершенно неизвестным причинам плотно свернулись в клубок. Эти и другие открытия, сделанные в ходе исследований, взбудоражили ученых сверх всякой меры. Джефф Лихтман, профессор Гарварда, рассказал The Guardian о проекте: «В этом наборе данных мы обнаружили много вещей, которых нет в учебниках. Мы не понимаем этих вещей, но я могу вам сказать, что они находятся между тем, что мы уже знаем и тем, что нам нужно знать».
Чтобы понять размер образца мозга и собранных из него данных, нам нужно разобраться с ошеломляюще колоссальными цифрами. Кубический миллиметр мозгового вещества составляет лишь одну миллионную часть размера мозга взрослого человека, однако сканированные изображения и полная карта его сложностей составляют 1,4 петабайта или 1,4 миллиона гигабайт. Если бы сегодня кто-то использовал подход Google/Гарварда для картирования всего человеческого мозга, сканы заняли бы 1,6 зеттабайт памяти.
OpenAI — американская научно-исследовательская организация, занимающаяся разработками в области искусственного интеллекта. В состав OpenAI входят зарегистрированная в штате Делавэр некоммерческая организация OpenAI, Inc и её дочерняя коммерческая компания OpenAI Global, LLC. OpenAI ставит перед собой цель разработать «безопасный и полезный» сильный искусственный интеллект, который организация определяет как «высокоавтономные системы, превосходящие человека в выполнении наиболее экономически ценной работы». На пути к этой цели организация создала несколько больших языковых моделей, в том числе GPT-4 и ChatGPT, а также моделей для генерации изображений, как DALL-E; в прошлом она публиковала модели с открытым исходным кодом. Некоммерческая организация OpenAI была основана в декабре 2015 года; её сопредседателями стали Сэм Олтмен и Илон Маск. Википедия
Читайте также:Stack Overflow массово банит пользователей за бунт против партнерства OpenAINvidia передала OpenAI свою новую разработку — DGX H200Глава Nvidia лично привёз ИИ-ускоритель Сэму АльтмануOpenAI и Microsoft создадут суперкомпьютер Stargate для задач ИИ за 100 млрд долларовOpenAI хочет создать собственные процессоры искусственного интеллекта
Головно́й мозг челове́ка (лат. encephalon) — орган центральной нервной системы, состоящей из множества взаимосвязанных между собой нервных клеток и их отростков. Головной мозг человека занимает почти всю полость мозгового отдела черепа, кости которого защищают головной мозг от внешних механических повреждений. В процессе роста и развития головной мозг принимает форму черепа. Википедия










0 комментариев